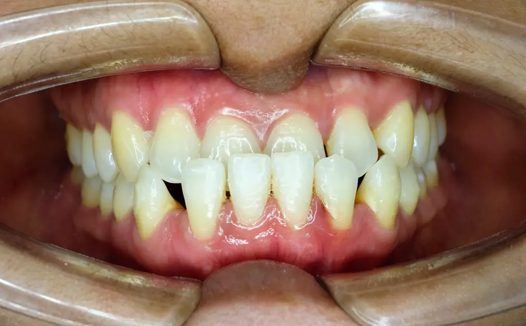
Spesso i bambini sviluppano una serie di abitudini scorrette che, in caso di mancato intervento, possono evolversi in problematiche durante l’adolescenza e l’età adulta. Al contrario, però, è possibile intercettare queste situazioni prima che esercitino gli effetto negativi che vanno trattati con interventi più invasivi una volta cresciuti.
Lo strumento principale dell’ortopedia intercettiva è l’attivatore polifunzionale o APF.
Questo può essere utilizzato dal bambino fin dai primi anni di età per prevenire l’insorgere di malocclusioni o correggerle se già presenti al momento della prima visita.
Gli APF che utilizziamo in studio sono realizzati con materiali morbidi in modo da risultare il meno invasivi possibile durante il periodo di cura.
Questa disciplina lavora sulle dinamiche della masticazione, della deglutizione, respirazione e fonazione, migliorando grandemente ognuna di queste, ristabilendo il giusto tono della muscolatura e correggendo l’occlusione, ovvero il contatto tra i denti.
Oltretutto, se tale terapia viene portata in giovane età, permette di abbreviare i tempi di trattamento e condiziona positivamente tutto il processo globale di crescita del bambino.
